Before & After

From a simple filling to a complete smile make over the entire team at Church Street Dental practice are here to help give you a healthier and brighter smile. Here are a sample of just some of the patients we have helped.

Case Study One

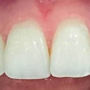
Miss H was unhappy about the colour of her teeth and the position of both heavily restored lateral incisors (the teeth next to the central incisors). After discussing a few options we agreed the best treatment was tooth whitening and to crown both laterals. With this approach and over a few visits we bighted the teeth and achieved a lovely symmetrical arch alignment.

Case Study Two

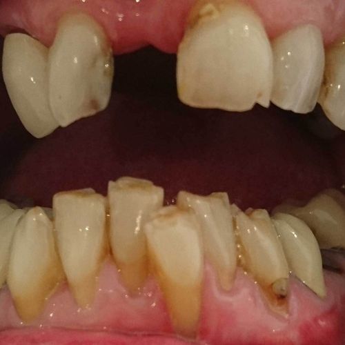
Mr T was an extremely complex case. After years of heavy wear and attrition Mr T was left with shortened and crumbling teeth and an excessive closure of the mouth. After careful treatment planning we began to reposition the jaw relationship using white fillings to rebuild the height of the teeth. Once this new jaw relationship became established sufficient space was achieved to allow for crowning of the anterior teeth. Heavily worn and filled teeth at the back of the mouth were then crowned thus stabilising the new bite and preventing Mr T from overloading his new anterior crowns.

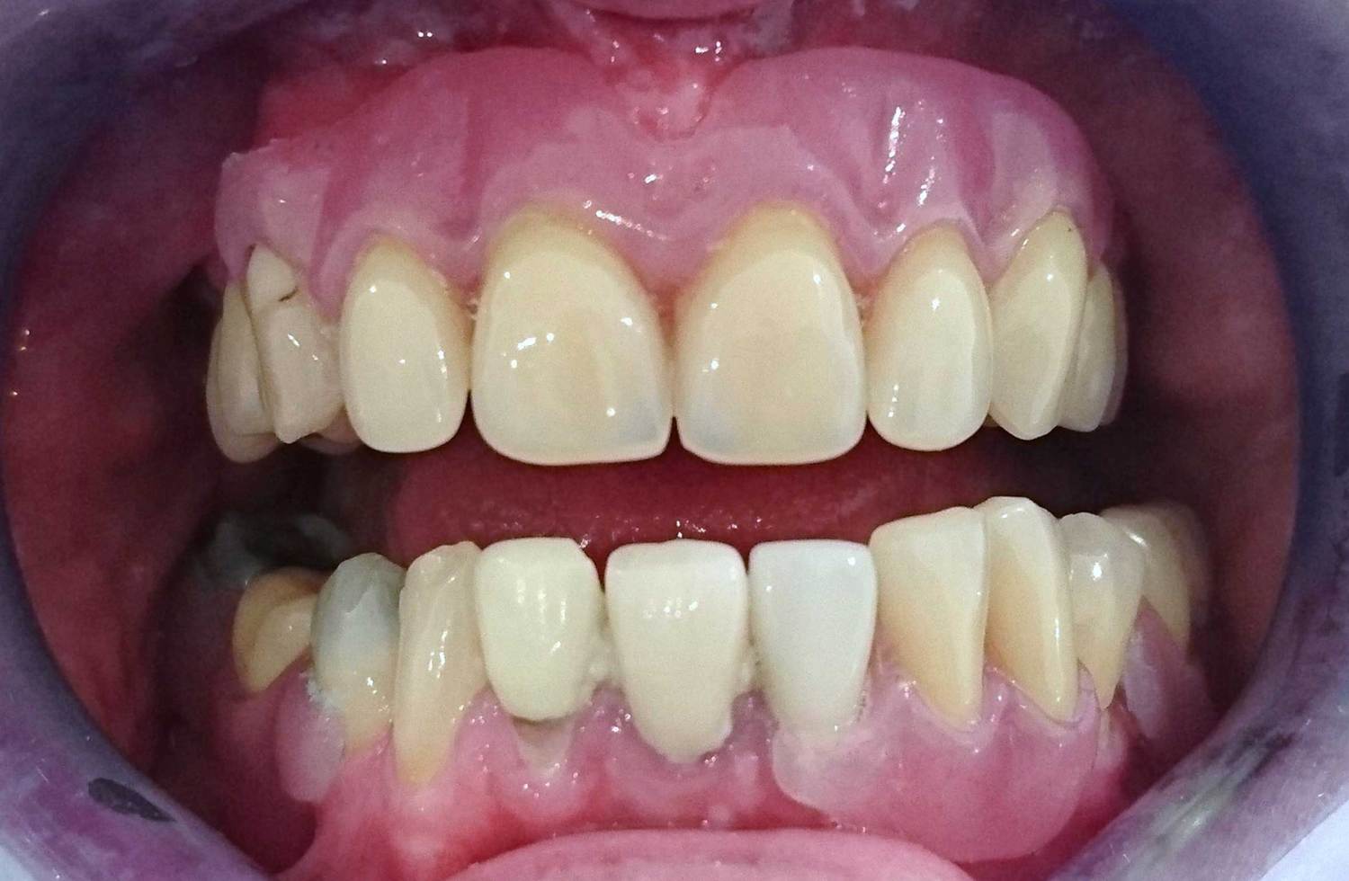
Case Study Three

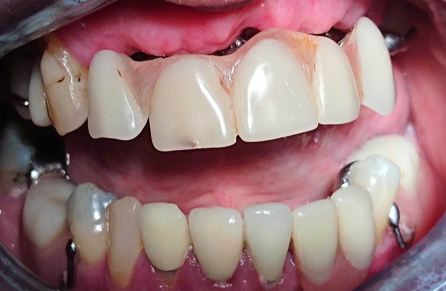
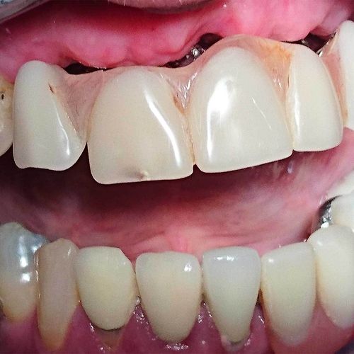
Mrs W was primarily concerned by her upper teeth, both the position and appearance of the upper incisors and the need for a small upper denture to replace the missing left lateral. Not wanting to go through the lengthy procedure of orthodontics and given that both central incisors were heavily restored we devised a treatment plan to not only improve the appearance but to also remove the need for a denture. Both centrals where crowed and a cantilever bridge from the canine designed to close the gap. The end result gives an attractive symmetry to the upper arch that had not been present before.

Case Study Four

Mrs B, like so many patients, had spent years putting up with ill fitting dentures that had become heavily worn and a food trap, with clearly visible metal clasps that can be unsightly. Heavy wear on dentures often results in the shortening of the facial height and over closing of the mouth. Over time patients may only be able to achieve a functional bite by protruding their lower jaw to allow for tooth contact. Thankfully Mrs B's case was not as severe. Using the new generation of advanced flexible materials and with the correct denture design an upper and lower flexible denture was manufactured. With the new denture the arch is in much better alignment. The flexible material allows for integration of the clasps for retention such that there is no need for the unsightly metal clasps. Gone to are the large spaces between the gum and denture that can cause food stagnation and increase caries risk.

Case Study Five

Mrs T was unhappy with the colour and appearance of her upper teeth also her current denture was ill fitting and would move when eating. On discussing different treatment options we decided that by replacing the missing tooth at the front of the mouth with a bridge this would give a superior aesthetic result. The lower teeth were minimally contoured to prevent chipping and the upper anterior teeth crowned and the gap bridged. The old denture was then replace with a new flexi denture the gave a much better fit.

"Having had a front tooth removed when I was 22 years old and having had dentures ever since, what good advice you gave me. Having had the gap bridged and crowned, I am thrilled with the result. The whole procedure was painless and I feel much attention was paid to the details. One very satisfied patient " - Mrs T

For more information about what Church Street Dental Practice can do for you please call the practice on 01287 632099 and one of our staff will be happy to book a consultation with your dentist.

Get in Touch

Before & After | Church Street Dental Practice